北欧式根管治療なら
“歯を残せる”
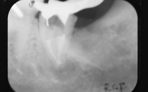
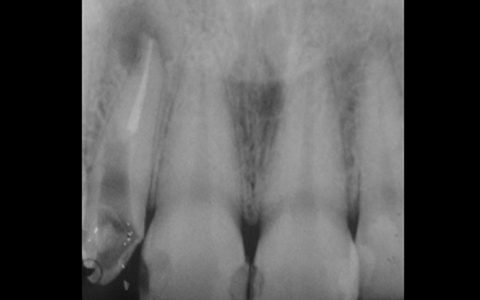
根管治療成功率
自費治療

※参考文献:miyashita et al.(2012)

根管治療成功率

※参考文献:miyashita et al.(2012)
当院では、神経を残すこと、
根管治療をしなくても済む方法を
第一に考えて治療を行います。
その上でどうしても必要なら
根管治療を行います。
| 保険治療 | 自費治療 | |
|---|---|---|
| 成功率 | 20%以下 | 90%以上 |
| 通院回数 | 2~8回 | 1~3回 |
| 治療時間 | 30分 | 60分~90分 |
| 視野 | 肉眼 | マイクロスコープ |
| 使用器具 | 制限あり | ニッケルチタン |
| 衛生環境 | なし | ラバーダム |
| 薬剤 | 制限あり | 害の少ないもの |
| 再発率 | 超高い | 超低い |
根管治療にはスウェーデンを中心とした「北欧式根管治療」と
アメリカを中心とした「アメリカ式根管治療」など
様々な治療方法や考え方があります。
北欧式根管治療は、診断学、生物学、細菌学に
基づいて作られたスカンジナビアの考え方で最も大事なのは診断です。
多くの患者さんは、誤った治療がされていたり、必要がないのに根管治療がされていたり、関係ない痛みのために根管治療がされていたりしています。
さらに再根管治療をしている歯のCTを撮影すると、歯根が破折していないにも関わらず、CTでは歯根が破折しているように見えることがあり、実は私達が見ているレントゲン(CTも含めて)は、その画像だけでは正しく診断できません。
当院では、口腔内・根管の中・レントゲンの全てを統合して正しい診断を行い、正しい時期に根管治療を行います。また、治療を行う際には時間をかけて丁寧に治療をしています。

根管治療を始める前にまずは、「痛みの種類や程度」「いつから痛みがあるのか」など痛みの診査診断を行い、症状を正確に把握いたします。

「病気があるのかどうか」「病気のレベルはどの程度なのか」を問診で明らかにします。問診で重要なのは、痛みのタイプから抜髄の必要性を見極めることです。ここで診断を誤ると、必要がないのに神経を抜いてしまう恐れがあります。
実は、非常に強い痛みを訴えていても、抜髄が必要ないケースも多いのです。
「歯の表面の神経が刺激を受けて鋭い痛みを感じている」「本当は歯ぐきの痛みだった」「治療後、徐々に痛み出した」このようなケースは、神経を抜かずに治療できる可能性があります。
反対に、歯の奥深いところにある神経が反応している際に感じる鈍い痛みがある場合は、抜髄が必要です。

根管治療では、今すぐ治療したほうが良い場合と、慌てなくても良い場合があります。また、自覚症状がある方には治療を行うことが多いですが、痛みの有無と治療の緊急性は必ずしも一致するとは限りません。
根管治療の診断においては、緊急性の見極めも重要な要素です。

根管治療の方法は、大きく分けて3つあります。
当院では、患者さんの症状に応じた的確な治療方法をご提案いたします。

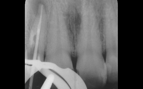
通常のレントゲンは平面による撮影のため情報量少なく正確な診断が難しいですが、歯科用CTは三次元の立体的な画像で確認することができるため、神経の位置や根管内もしっかりと確認できます。
精密な治療をご提供するために、歯科用CTによる正確な画像診断を行うことがあります。

根管内はとても細く複雑な形状をしておりますので、肉眼では細部まで確認することができません。
当院では最大24倍に患部を拡大して診ることができるマイクロスコープを活用して正確に診断をするようにしています。

根管内嫌気培養法という、根管内が本当に無菌状態になったかを調べる方法を用いて、無菌になるまで消毒を繰り返し、確実に無菌状態になったことを確かめて治療を終了するようにしております。
根管内、口腔内、レントゲン
全ての診断結果を
統合して判断していきます
セカンドオピニオンもお受けしています
お気軽に
ご相談ください
当院での根管治療開始時には、新たな細菌を根管の中に入れないために、
これから治療する歯の周りの細菌をすべて無菌化することから始めます。
使用する機器や材料ももちろん大切ですが、
基本的には診断と細菌学をベースで考え治療を行います。


ラバーダムとは、歯にゴムのシートをかける処置のことを言います。
口腔内には、様々な種類の細菌が数多く存在しています。
さらに、根管は非常に複雑で、歯によって根管の数も異なります。
特に大臼歯ともなると4根管と言われており、この複雑な根管の中に細菌が入るとそれを取り除くのは非常に困難です。
新たな細菌が入らないようにするためにも、このラバーダムを細かく精密に装着することで、細菌から歯を隔離します。また、その術野に全く細菌がいない状態をつくることが重要で、そのために2種類の薬剤を用いて細菌を除去し、根管治療を始めます。

一方、すでに根管の中に細菌が侵入してしまっている場合は、柔らかい機材・弾性のある機材を使用してこの複雑な根管の状況から細菌を減らしていきます。
より長い時間、根管の中を洗浄することが必要です。また、細菌がさらに死滅するように根管の中に細菌が嫌がる薬剤を入れて少なくとも1~2週間程間をあけます。
このような点からも、根管治療は簡単に終えることができる治療ではないことが分かります。
根管治療を実施し、細菌検査により根管内が無菌化できているかしっかりと確認を行い、細菌が見つからなくなったら根管治療は終了となります。
患部を12~20倍に拡大して診ることができるマイクロスコープ、
スウェーデン王立イエテボリ大学公認の歯内療法専門医監修による根管治療を行っています。

根管の数が1つに見えても、マイクロスコープで見ると実際にはもう1つ根管が隠れていることも多く、根管が見逃されているケースが多々あります。
マイクロスコープを使用することで、複雑な歯の中を12~20倍に拡大して見ることができ、根管を見逃すことなく精密な治療が可能となります。

当院の理事長は、スウェーデン王立イエテボリ大学公認の歯内療法専門医です。
根管治療は、歯内療法専門医である理事長監修のもと行います。
時間をかけて丁寧に治療を行うことで、「可能な限り再治療が不要な治療」、「徹底的な口腔健康管理」をご提供いたします。
実績も豊富ですので、お気軽にご相談ください。
通常使用するステンレスのファイルは、複雑な根管内では機能しないことが多いですが、当院では柔軟性があり、複雑な根管形態に入っていける高価なニッケルチタンファイルを使用しています。
治療が順調に進んでいるか、本当に細菌がいない状態になっているのかの確認を徹底して行います。
どこまで根管治療が行われているのかをレントゲン撮影により確認するだけではなく、細菌検査による無菌化の確認も行っています。これにより治療の成功率が格段に向上します。
当院の根管治療は、マイクロスコープなどを用いて細かく丁寧に治療を行っていきます。
しっかりと時間を確保した上で、正確な診断、細菌がいない状態なのかの確認、精密な治療を行うからこそ高い治療成功率を維持できるのです。
セカンドオピニオンもお受けしています
お気軽に
ご相談ください

根管治療とは、むし歯の進行が歯の根の中にある神経にまで達した場合に行う治療です。
再度、根管治療を行う再根管治療も含まれます。
根管は歯を支えるためにとても大切な役割を果たしており、根管治療を放置したりすると抜歯の原因に繋がります。
また、患者さんお一人おひとりの根管は異なり、複雑で入り組んでいるため、十分な清掃や消毒を行う必要があり、時間のかかる治療でもあります。

健康保険での治療の成功率が低い理由として、十分に治療時間を取ることができず、治療方法や使用する材料にも制限があることが考えられます。
日本が保険制度で保障しているのは、「必要最低限度の治療」であり、「患者さんのためのよりよい治療」ではありません。
根管治療は、「どこの医院で行っても一緒」ではありません。当院では、根拠に基づいた質の高い根管治療を提供いたします。
セカンドオピニオンもお受けしています
お気軽に
ご相談ください
| 内容 | 専門医 |
|---|---|
| 前歯 | 16.5万円(税込)~22万円(税込) |
| 小臼歯 | 22万円(税込)~27.5万円(税込) |
| 大臼歯 | 27.5万円(税別)~33万円(税別) |
| 土台(コア) | 5.5万円(税込) |
※自由診療となります。
※標準的な治療費となります。診断により異なります。
現金の他各種クレジットカードによるお支払いに対応しております
※当院指定の銀行口座へ、お振込みでの対応も可能です(応相談)。


※自費診療に限ります。
※PayPayや交通系電子マネーは不可
セカンドオピニオンもお受けしています
お気軽に
ご相談ください
当院では、むし歯治療、根管治療、歯周病治療は、「北欧方式」の治療を行っています。
歯を削る量を最小限に抑えるほか、自費の根管治療においては細菌の侵入を防ぐ「ラバーダム」を標準的に使用しています。
根管治療は細菌検査を行い治療の効果を細かく管理します。
また、正確な診断と症状に合わせた綿密な治療計画を軸に、「可能な限り再治療が不要な治療」、患者さんの行動の変容を促す「徹底的な口腔健康管理」をご提供いたします。
原因が定まっていない段階で治療を行うことはありません。
患者さんのお話をじっくりと聞き、あらゆる角度から病気の原因を探り出す努力をします。
患者さん一人ひとりに対してしっかりと時間をかけ、歯の健康を取り戻す。これが本来の歯科治療のあり方だと考えています。


| アクセス | ■電車でお越しの方 都営地下鉄大江戸線「麻布十番駅」7番出口より徒歩5分 東京メトロ南北線「麻布十番駅」4番・5番出口より徒歩5分 東京メトロ日比谷線「六本木駅」3番出口より徒歩10分 ※東洋英和女学院中等部グラウンド裏手 お多福坂沿い ■お車でお越しの方(高速道路からのアクセス) ・新宿方面からお越しの方 首都高速環状線「霞ヶ関」より車で7分 ・目黒方面からお越しの方 首都高速環状線「飯倉」より車で2分 |
|---|---|
| 駐車場 | 近隣の有料駐車場をご利用ください。 |
治療後に痛みがあります。大丈夫でしょうか?
治療後は一時的に痛みが出ることがあります。
いつまでも痛みが治まらない場合は、お問い合わせください。
根管治療をしても抜歯することはありますか?
細菌を取りきれない場合は抜歯が必要となることもあります。
難症例の経験もありますので、他院で抜歯と診断された場合でも、ご相談いただければと思います。
根管治療の期間はどれくらいかかりますか?
患者さんの状態によって異なりますが、根管治療は根気が必要な治療です。
治療を中断することがないようにしましょう。
セカンドオピニオンもお受けしています
お気軽に
ご相談ください
スウェーデン王立イエテボリ大学
診断学・歯内療法/歯周病専門医
宮下 裕志に直接相談できます。
English・Japanese availavle
【注意事項】
初回の無料相談専用フォームとなっております。
至急診療希望の方は、「宮下理事長初診予約」にて予約をお取りください。
(初診料50,000円+消費税)
メディアその他の取材申し込み、営業連絡はかたくお断りいたします。
※2週間たってもメール返信がない場合は、再送ください。